What challenges do researchers normally encounter with typical proteomic strategies?
The proteomics area is very complicated, spanning preliminary organic samples to complete evaluation. An overarching theme repeatedly emphasised by researchers revolves across the absence of a common answer for this whole course of. Fairly, every part calls for meticulous harmonization.
Researchers usually discover themselves at a crossroads. They need to select between focused approaches, equivalent to arrays, immunoassays, or gels, the place the search is predefined, or go for an unbiased know-how that permits in-depth pattern interrogation.
Attaining peptide-level decision predominantly includes mass spectrometry — a pricey avenue, with machines exceeding a million-dollar price ticket, accompanied by demanding staffing and infrastructure conditions that not all establishments can accommodate.
How does next-generation protein sequencing present a singular answer for these challenges?
In contemplating this query, it’s important to acknowledge two distinct buyer teams, every uniquely impacted by some great benefits of next-generation protein sequencing.
For somebody devoted to overseeing a core lab inside a well-funded educational analysis institute, catering to superior applied sciences, together with mass spectrometry and others, I feel this know-how permits specialists to delve deeper into their pattern analyses.
Whereas preliminary screening reveals the composition of the samples, next-generation protein sequencing know-how facilitates a complete interrogation of amino acid variations, modifications, and complicated adjustments that solely sequencing can unveil, scrutinizing peptides on the amino acid stage.
Conversely, there are additionally some researchers who might lack the intensive infrastructure or monetary means to acquire pricey mass spectrometry tools. Presently, they outsource their pattern analyses to core labs.
That is the place the pivotal side of accessibility comes into play. Our proprietary machine, out there at an inexpensive value of $70,000, grants them the autonomy to conduct testing inside their laboratories.
The combination of automated evaluation negates the need for specialised personnel expert in duties like bioinformatics. For this group, the main focus shifts in the direction of internalizing and sustaining management over their analysis course of, decreasing reliance on exterior core labs.
Are you able to clarify how the Platinum™ Subsequent-Technology Protein Sequencer makes protein sequencing extra accessible to researchers from various scientific backgrounds?
Platinum™ Subsequent-Technology Protein Sequencer achieves this by way of two key avenues. Firstly, it addresses the monetary side. Regardless of whether or not an establishment is massive or small, buying such tools calls for a price range allocation.
Priced at $70,000, this instrument removes the need of securing substantial grants solely to entry this know-how. Researchers can extra simply determine sources to make this know-how funding, facilitating its integration into their analysis endeavors.
Secondly, the convenience of knowledge evaluation is phenomenal. Whereas sure analyses, equivalent to protein identification, could be carried out on each our machine and a mass spectrometer, our platform distinguishes itself by way of automated post-analysis procedures.
In distinction, with a mass spectrometer, you both need to have the workers to assist conduct this evaluation, or you would need to spend the time to do this evaluation your self. Platinum™ Subsequent-Technology Protein Sequencer not solely ensures simplicity but in addition alleviates the onus on specialised workers, making routine duties like protein identification extra environment friendly.
How does the Platinum sequencer present high-resolution protein sequence knowledge with out requiring intensive experience or complicated infrastructure, and why is that this vital?
The elemental precept underlying this technological method is the utilization of ordinary pattern preparation strategies generally employed in proteomics laboratories.
These labs usually make the most of strategies equivalent to immuoprecipitation or pattern depletion strategies. The modern side of next-generation protein sequencing, which drives enhanced insights, revolves across the breakdown of proteins into quite a few particular person peptides.
This know-how employs a mixture of specialised sequencing reagents, a semiconductor chip, and a devoted machine. This mixture facilitates a cautious course of whereby the peptide is sequentially cleaved, one amino acid at a time, and precisely measured.
Consequently, this process’s intricacy and labor-intensive nature, which might conventionally demand important sources inside a laboratory setting, are effectively condensed inside our proprietary machine and know-how. The end result of this course of yields invaluable knowledge.

Determine 1. Platinum’s easy-to-use, end-to-end answer consists of all the pieces it’s worthwhile to put together, sequence and analyze proteins with seamless integration into present workflows. The Platinum workflow begins with protein digestion and immobilization of peptides on a semiconductor chip. Fluorescently labeled N-terminal amino acid (NAA) recognizers bind every NAA and the binding depth and kinetics are captured as a singular kinetic signature for every NAA. Aminopeptidases cleave NAAs exposing the subsequent NAA for sequencing. On-off binding reveals the amino acid sequence in every various peptide. Information is securely transferred and analyzed utilizing an intuitive Cloud based mostly software program which aligns and interprets kinetic signatures to protein identification.
Platinum™ Subsequent-Technology Protein Sequencer
How does next-generation protein sequencing complement present workflows, particularly for researchers primarily targeted on genomics or transcriptomics?
The numerous benefit of next-generation protein sequencing lies in its capability to delve deeper into samples, right down to the amino acid stage — a facet that units it aside from many different applied sciences. Whether or not you use inside a proteomics core or a genomics core, this functionality holds substantial worth.
Transitioning from genomics to proteomics introduces concerns of accessibility and value, such because the bills related to automated evaluation machines and specialised capabilities not usually present in genomics cores.
Basically, genomics laboratories are embracing proteomics applied sciences to finish your entire narrative. Their journey begins with DNA-level work, extends to RNA and transcriptomics, and finally seeks to unveil the intricacies of protein presence and expression. The target is to ascertain a cohesive connection between RNA sequencing outcomes and observations on the proteomic stage.
Researchers purpose to determine whether or not proteins align with anticipated outcomes when it comes to their presence and performance throughout all topics or sufferers beneath scrutiny. This pursuit includes investigating potential deviations — be it the absence of anticipated proteins or the non-uniform efficiency of recognized proteins amongst topics.
Researchers additionally attempt to uncover protein modifications and various proteoforms, additional enriching the multiomic exploration. The development spans from foundational DNA evaluation to transcriptomics and culminates in a complete understanding of practical occurrences on the protein stratum.
What priceless insights can researchers acquire from the Platinum™ Subsequent-Technology Protein Sequencer?
There are distinct buyer segments that derive distinctive advantages from Platinum™ Subsequent-Technology Protein Sequencer. One group contains people who search to conduct their analysis autonomously, thereby exerting management over the analysis timeline and sustaining possession from pattern assortment to eventual publication. For them, this know-how fulfills the basic aspiration of complete analysis possession throughout all phases.
Conversely, these already immersed in proteomics harness the capabilities of the sequencer to delve into the intricacies of knowledge. In instances the place samples harbor hypothesized amino acid alterations or discrepancies between responder and non-responder profiles, this instrument facilitates the investigation of potential protein modifications, variants or different adjustments.
Researchers at this level possess hypotheses that they could have pursued utilizing present strategies, but they aspire to delve even additional, pinpointing underlying causes and substantiating their conjectures. The sequencer empowers them to embark on a journey of discovery, enabling the exploration of things they take into account causative or important but are unable to precisely detect utilizing present methodologies.
How does the Platinum™ Subsequent-Technology Protein Sequencer improve the capabilities of researchers utilizing immunoassays for protein evaluation?
When using Platinum™ Subsequent-Technology Protein Sequencer along side immunoassays for protein evaluation, a big shift in method turns into obvious. Within the realm of immunoassays, the standard course of includes deliberate choice and focusing on of particular proteins, a biased methodology necessitating a transparent predefined goal.
In distinction, the distinct benefit supplied by Platinum™ Subsequent-Technology Protein Sequencer lies in its capability for unbiased evaluation. Inside the area of proteomics, this know-how permits researchers to discover samples with out the constraint of predefining their goal. This attribute essentially alters the dynamics, rendering the normal necessity of repeatedly procuring or designing specialised reagents out of date.
Every iteration of a examine within the conventional immunoassay paradigm necessitates the acquisition or creation of particular reagents tailor-made to the protein of curiosity.
In distinction, Platinum™ Subsequent-Technology Protein Sequencer streamlines this course of by enabling uniformity in workflow and reagent utilization throughout various investigations. This consistency is maintained whatever the particular protein being studied, providing unparalleled effectivity and useful resource utilization.

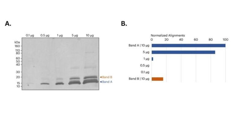
Determine 2. A) picture of SDS-PAGE gel of CDNF samples previous to band excision. Orange and blue arrows point out the approximate location of the bands eliminated for in-gel digestion and subsequent protein sequencing on Platinum. B) Bar graph exhibits the relative variety of peptide alignments for every in-gel digested pattern. For Band A, each the 5 μg and 10 μg samples produced extra aligned CDNF peptides in comparison with the 0.1 μg, 0.5 μg, and 1 μg samples. Moreover, the ten μg Band B pattern additionally produced a big variety of CDNF aligned peptides. All alignments normalized to the whole alignments from the ten μg library.
The inherent benefit of using an unbiased know-how is the capability to not solely determine the sought-after protein but in addition uncover extra proteins of curiosity that may have gone in any other case unnoticed.
This capability is especially essential when piecing collectively a complete understanding of protein interactions and dynamics inside a posh organic system.
Are you able to share particular examples the place next-generation protein sequencing has considerably superior proteomics analysis and improved our understanding of complicated organic processes?
A compelling instance, detailed in an software notice out there on our web site, stems from a collaborative effort with an educational establishment. On this case, the main focus was on people who had contracted COVID-19. The purpose was to discern variations within the immune responses amongst these contaminated by completely different strains like Omicron, Delta, and the unique Alpha pressure, thereby unraveling essential distinctions.
By means of this partnership, we managed to unveil delicate alterations, equivalent to single amino acid adjustments and the presence/absence of particular peptides. The power to sequence on the amino acid stage performed a pivotal position. By leveraging this method, it turned possible to precisely pinpoint whether or not a person was impacted by Omicron or Delta, successfully enabling a type of surveillance.

Determine 3. Instance protein sequencing traces of SARS-CoV-2 variants for the peptide the place the L452R mutation happens exhibits that recognizer binding produces clear kinetic variations influenced by the L452R mutation that may be detected with Quantum-Si’s Platinum instrument, successfully differentiating the Alpha variant from Omicron.
The importance lies within the state of affairs the place people had encountered COVID-19 however the viral RNA had already dissipated. This technique supplied a singular avenue to analyze the aftermath of infections and analyze the immune responses that endured.
Basically, it allowed for the monitoring of people’ immune reactions post-infection. This avenue of analysis holds explicit intrigue because it extends the examine timeline properly past the part when viral RNA could be sequenced, thereby facilitating the identification of viral strains even after their genetic materials has waned.
What benefits does the Platinum sequencer provide over conventional mass spectrometry for figuring out proteins and proteoforms?
Relating to protein identification, mass spectrometry excels in eventualities the place it’s worthwhile to course of a lot of samples in a single go — say, working with 100 or 50 samples concurrently.
Nonetheless, it is very important notice that not each analysis endeavor requires such intensive scalability. There are cases when your pattern pool is smaller or you’re looking for a swift and streamlined identification course of with out navigating the complexities related to a high-volume workflow.
Conversely, when the target is to delve deeper into evaluation, scrutinizing protein variants turns into pivotal — encompassing protein modifications and single amino acid substitutions. Whereas sure mass spectrometry strategies can handle a few of these intricacies, they usually entail arduous preparatory phases and different procedural intricacies.
That is the place Platinum sequencer distinguishes itself by enabling the execution of those analyses by way of a extra customary workflow on our platform. The distinct benefit emerges as you purpose for profound insights, delving into intricate protein particulars.
Nonetheless, it’s value highlighting that there’s additionally worth in conducting elementary protein analyses, particularly earlier than your analysis undertakings advance to the dimensions of lots of of samples. In these contexts, Platinum gives a swifter and extra accessible method to protein identification.
How do you see next-generation protein sequencing shaping the way forward for proteomics analysis and contributing to scientific discoveries on this area?
The numerous influence of next-generation protein sequencing lies in its potential to drive transformative discoveries. An array of cases involving focused therapeutics underscores the relevance of pinpointing particular proteins.
Upon analyzing medical knowledge, patterns emerge the place people exhibit distinct responses, together with responders and non-responders, in addition to recurrence and non-recurrence instances. Delving into this divergence and elucidating its underpinnings constitutes a focus of exploration for quite a few researchers and publications.
The muse of those disparities usually pertains to post-translational modifications (PTMs) and a broader spectrum of protein variations, which, whereas essentially sharing protein-level similarity, diverge on the amino acid or PTM stage.
This divergence gives a priceless avenue for stratification, enabling refined identification and the development of focused remedies. Furthermore, this know-how bears the potential for affected person stratification, diagnostics, and therapeutic assessments. It might function a illness biomarker or assist in monitoring responses, even detecting minimal residual illness.
Notably, each diagnostic and therapeutic realms stand to achieve from the newfound capability to unveil these intricacies. The prevailing state of affairs of uniform remedy yielding various outcomes prompts an unbiased, complete exploration to uncover the underlying components.
This understanding holds the promise of novel therapeutic approaches, individualized remedies, and early intervention methods. In the end, the insights achievable by way of such complete evaluation pave the best way for long-term developments in proteomics analysis, ushering in a brand new period of potential breakthroughs.
In what distinctive methods does the Platinum sequencer permit researchers to review modifications, proteoforms, and uncommon occasions that antibodies might not detect?
Platinum sequencer gives a number of distinct benefits on this regard. Our know-how presents a extra versatile method than relying solely on antibodies, which necessitates prior information of the particular change being focused.
Researchers usually face limitations when utilizing antibodies, significantly when coping with delicate modifications inside a protein. The intricacy of those modifications might render it difficult to develop extremely particular antibodies tailor-made to those minute alterations.
Nonetheless, with Platinum next-generation sequencing, this problem is mitigated. By enzymatically breaking down the protein into peptides and subsequently sequencing them on the amino acid stage, our know-how empowers researchers to discover with out the necessity for specialised reagents.
Because of this researchers not need to develop new reagents or exactly know upfront what to seek for. The sequencer facilitates a broader lens method, permitting researchers to uncover a spectrum of alterations — be it probing for particular protein modifications or figuring out substitutions — with out the constraints of conventional antibody-based strategies.
Picture Credit score: Quantum-Si
How has the Platinum™ Subsequent-Technology Protein Sequencer inspired researchers to undertake a extra complete multiomics method?
Within the early phases of our industrial launch, we noticed a notable pattern amongst researchers. Particularly, on the proteomics core laboratory stage, there’s a rising enthusiasm for conducting in-depth analyses as a part of their analysis endeavors.
This enthusiasm arises from the will to meticulously decipher distinctions between various examine populations. As mentioned earlier, our presence at commerce exhibits and related occasions, usually with a genomic focus, has allowed us to witness an growing variety of genomics labs aiming to counterpoint their capabilities as properly.
These labs have already delved into DNA and RNA sequencing, and a few are even venturing into spatial biology domains.
The introduction of proteomics, the capability to sequence proteins, serves as a priceless supplementary instrument for his or her holistic exploration. This method empowers researchers to analyze their areas of curiosity comprehensively, spanning from the DNA stage to the practical dimension of proteins.
About Jeff Hawkins
Jeff Hawkins has over 20 years of expertise on the world’s main life science and diagnostics corporations. Previous to Quantum-Si, Jeff was President and Chief Govt Officer of Truvian Sciences, Inc. the place he led the evolution of
the firm’s benchtop blood testing system from a product idea. Jeff Hawkins holds a B.A. in Chemistry with honors from Concordia College in addition to an MBA from Keller Graduate College of Administration.
About Quantum-Si
Quantum-Si was initially based in 2013 by Jonathan Rothberg, who envisioned a brand new frontier the place biologists can speed up primary scientific insights and biomedical advances by way of the ability of next-generation protein sequencing.
Quantum-Si goals to revolutionize proteomics, by bringing single-molecule protein evaluation to each lab, in every single place, to generate a greater understanding of proteins’ position in cell biology and illness. The corporate’s instrument, known as
Platinum™, is powered by a first-of-its-kind semiconductor chip, and permits researchers by way of next-generation protein sequencing to know what is actually occurring on the protein, peptide or amino acid stage to gasoline new discoveries.
